• 5.Lung, Pleura
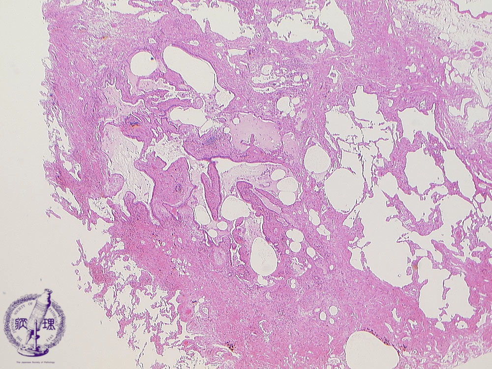
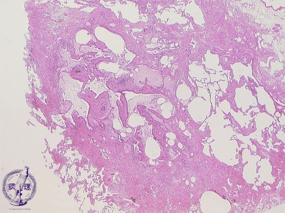
  • (12)Interstitial pneumonia(usual interstitial pneumonia (UIP))

Microscopic view (HE stain, low power view): Airspace and bronchiolar dilatation, alveolar collapse and disappearance, and peribronchiolar fibrosis and small arterial wall hypertrophy are seen.

Click the image to see the enlarged image.

  • There is no guidance by arrows.