- 7.Oral, Salivary gland
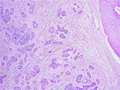
- (5)Odontogenic tumors(★Ameloblastoma)
Panoramic radiograph:There is a multilocular, radiolucent and expansile bony lesion spanning from the left mandibular second molar to the coronoid and condylar processes. The third molar is impacted and the root of the second molar is resorbed (arrow).
Click the image to see the enlarged image.
















