- 7.Oral, Salivary gland
- (5)Odontogenic tumors(★Ameloblastoma)
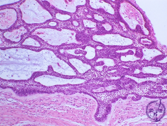
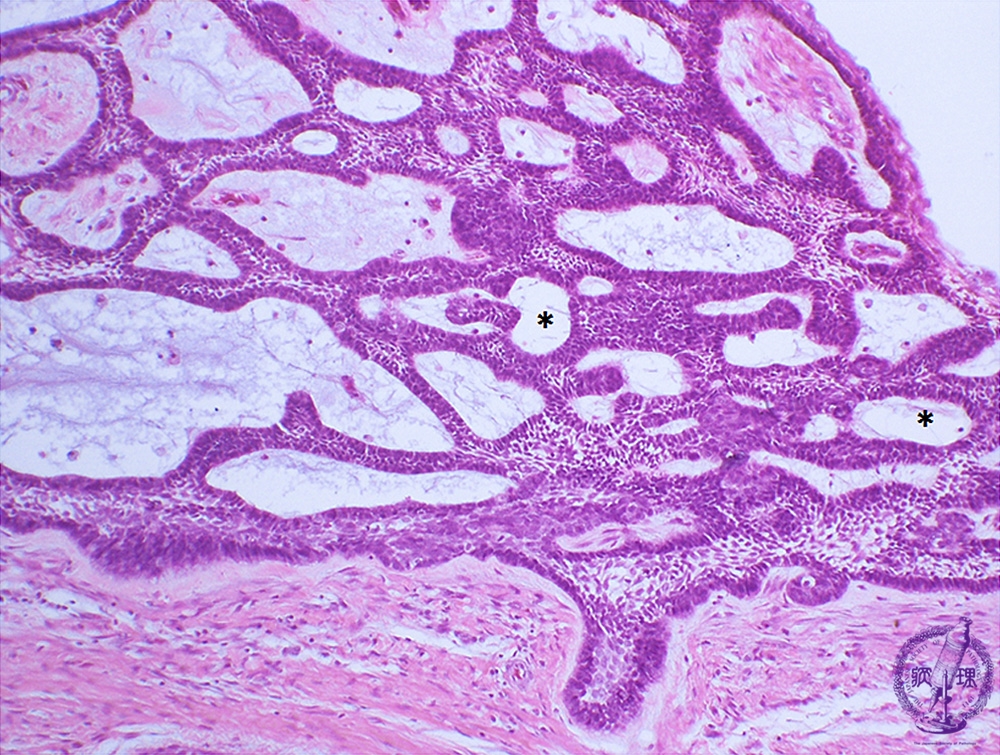
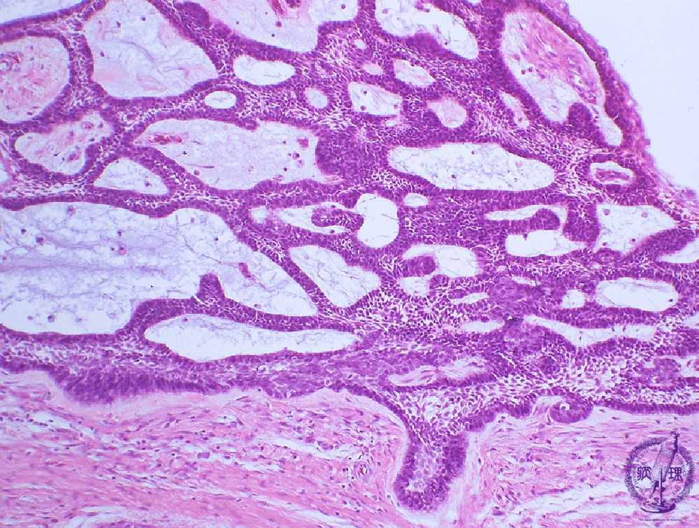
Microscopic finding (HE stain, intermediate-power view):The narrow tumor nests anastomose, resulting in a reticular appearance (plexiform type). The intervening stroma is edematous and shows cystic degeneration (*).
Click the image to see the enlarged image.
















