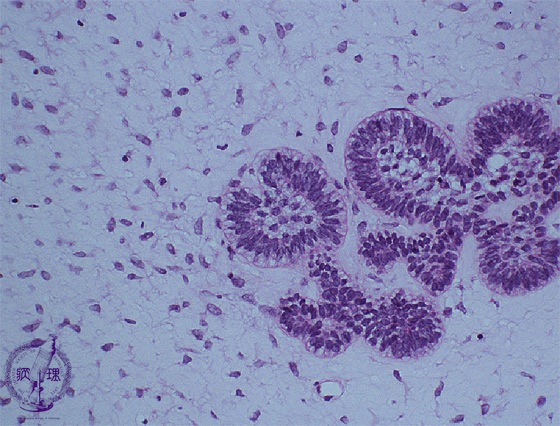
Microscopic finding (HE stain, high-power view):The epithelium resembles enamel organ and the mesenchymal element is primitive connective tissue, morphologically similar to dental papilla. The formation of odontogenic hard tissue is not observed.

Click the image to see the enlarged image.

  • There is no guidance by arrows.