- 7.Oral, Salivary gland
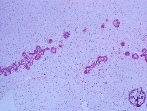
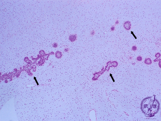
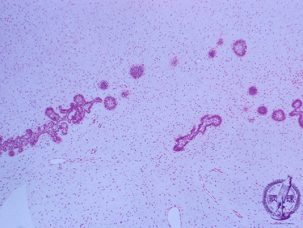
- (5)Odontogenic tumors(★Ameloblastic fibroma)
Microscopic finding (HE stain, low-power view):Islands or cords of epithelial cells (arrows) proliferate in the hypercellular connective tissue which has abundant myxoid matrix (ectomesenchyme).
Click the image to see the enlarged image.
















