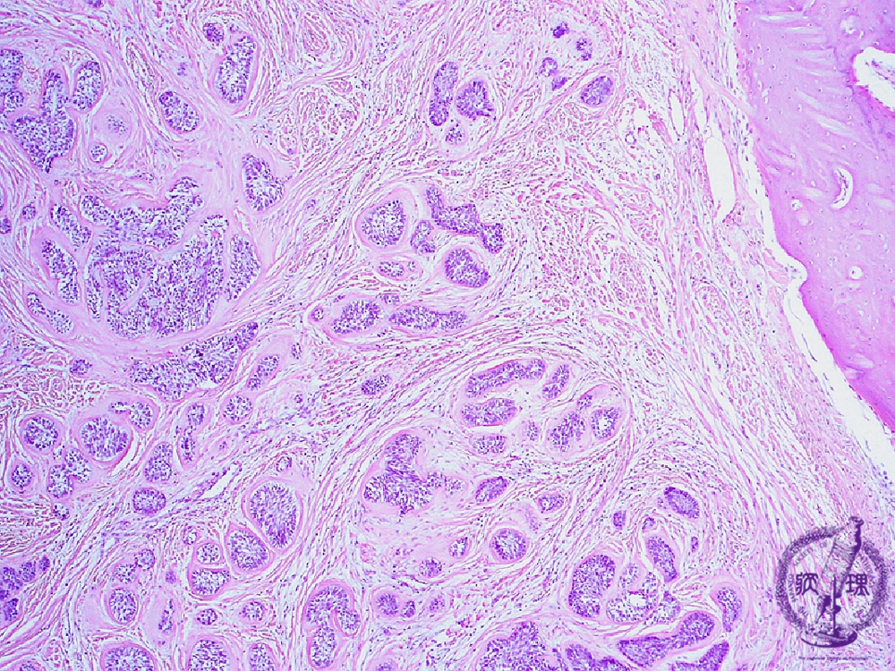
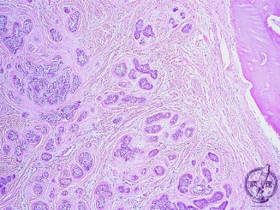
Microscopic finding (HE stain, low-power view):Multiple tumor nests proliferate in a background of fibrous stroma with bone resorption (follicular type).

Click the image to see the enlarged image.

  • There is no guidance by arrows.