- 8.Esophagus, Stomach
- ★(4)Gastritis (acute gastritis)
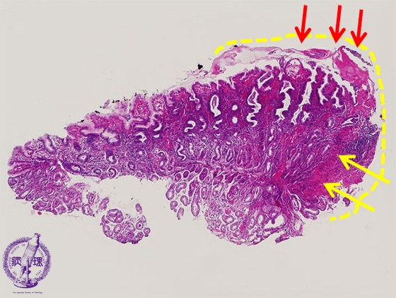
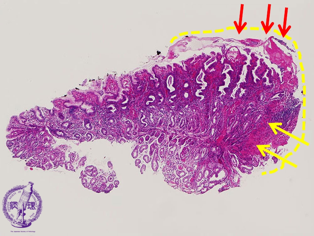
Microscopic view of acute gastric mucosal lesions (H&E stain, low power): At the right edge, there is an erosive area (yellow dashed line) which exhibits intramuoscal hemorrhage and adherent fibrin at the surface. These findings are frequently observed in AGML.
Click the image to see the enlarged image.
















