- 8.Esophagus, Stomach
- ★(4)Gastritis (chronic gastritis)
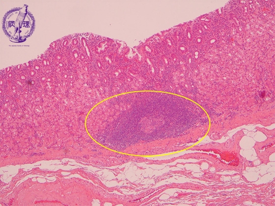
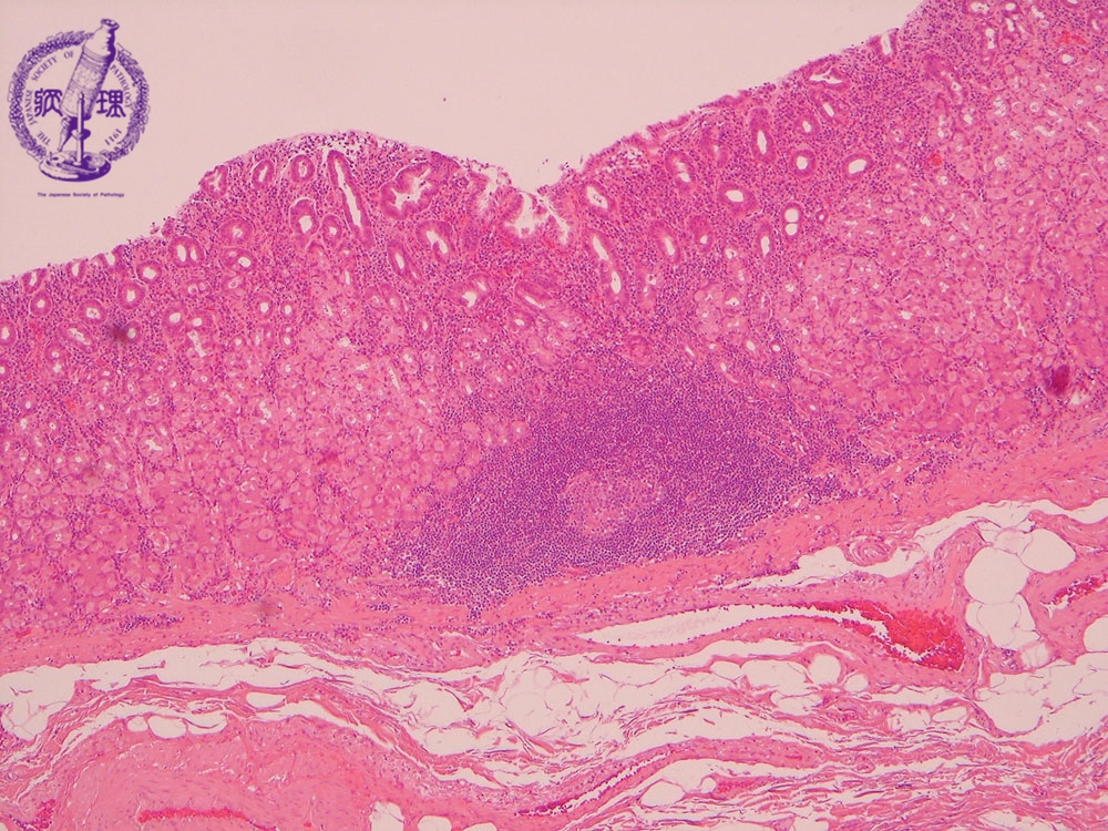
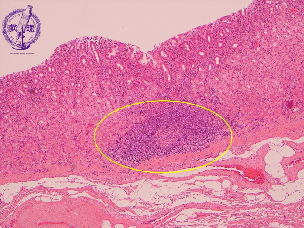
Microscopic view (H&E stain, low power): Chronic gastritis. There is chronic inflammation of the gastric cardia, predominantly at the mucosal surface. Lymphoid follicles form within fundic glands (circle), accompanied by glandular destruction.
Click the image to see the enlarged image.
















