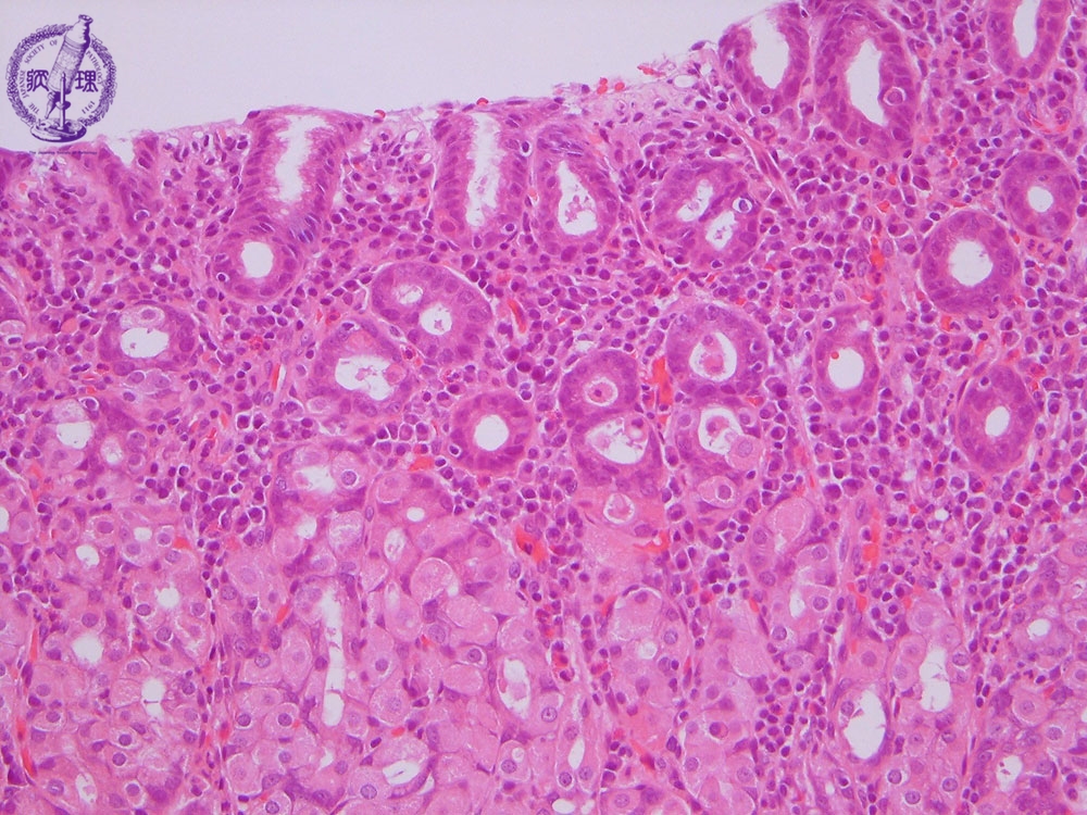
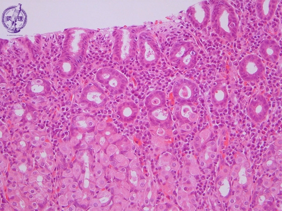
Microscopic view (H&E stain, intermediate power): Chronic gastritis. The surface epithelium shows chronic, predominantly lymphoplasmacytic inflammation while foveolar crypts show regenerative change.

Click the image to see the enlarged image.

  • There is no guidance by arrows.