- 8.Esophagus, Stomach
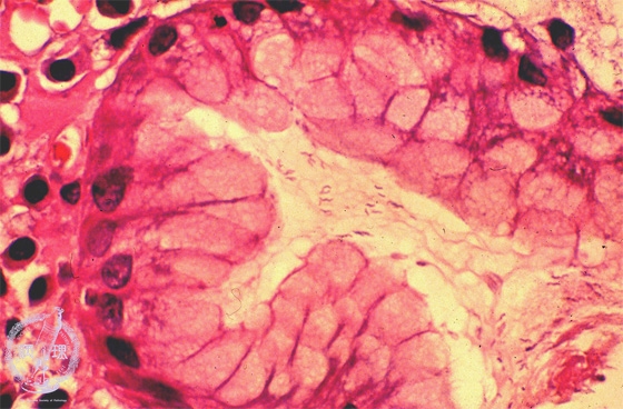
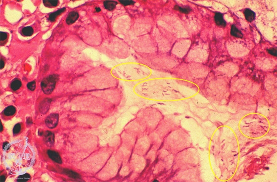
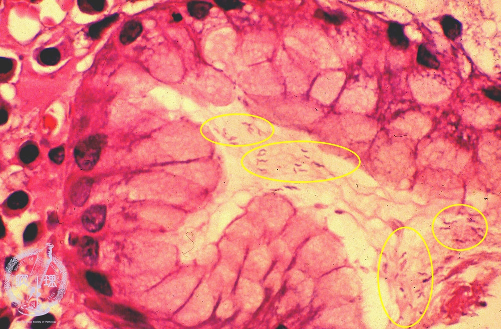
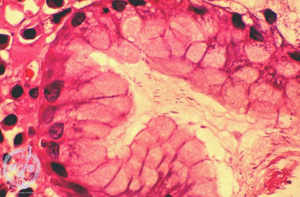
- ★(4)Gastritis (H. Pylori infection)
Microscopic view (H&E stain, low power): Long, narrow H. pylori bacilli (Helicobacter pylori), are seen sporadically within mucous (open circle). However, H. Pylori is no longer observed in areas having undergone intestinal metaplasia.
Click the image to see the enlarged image.
















