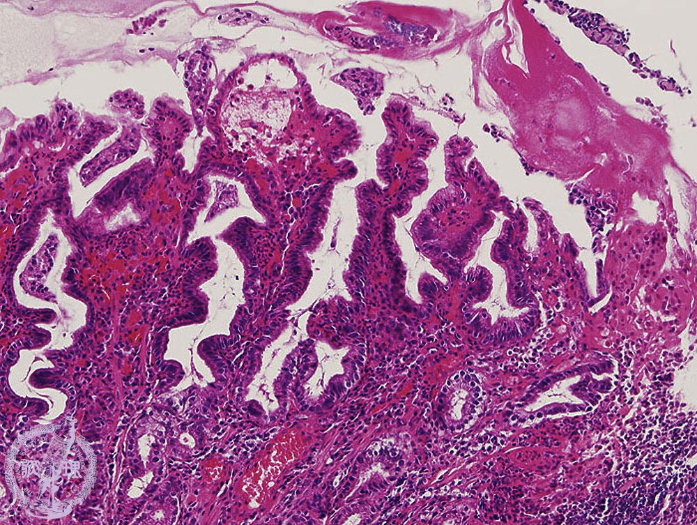
Microscopic view (H&E stain, intermediate power): Acute gastric mucosal lesions. The glandular epithelium is darkly staining and conspicuously tortuous; However, the architectural integrity is preserved, consistent with regenerative change.

Click the image to see the enlarged image.

  • There is no guidance by arrows.