- 12.Kidney and Urinary System
- ★(2)Membranous nephropathy
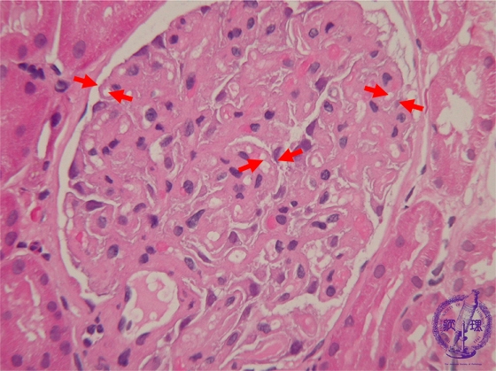
Microscopic findings (HE, high power view): The capillary loops are diffusely thickened (red arrows). Mesangial cell proliferation is inconspicuous.
Click the image to see the enlarged image.
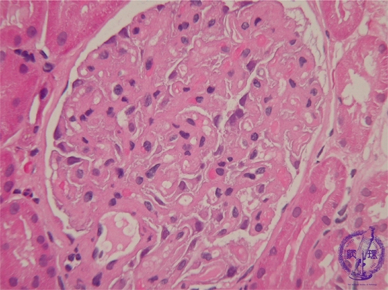
Microscopic findings (HE, high power view): The capillary loops are diffusely thickened (red arrows). Mesangial cell proliferation is inconspicuous.
Click the image to see the enlarged image.