- 12.Kidney and Urinary System
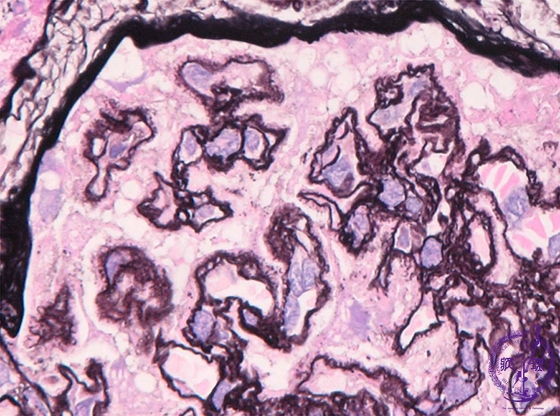
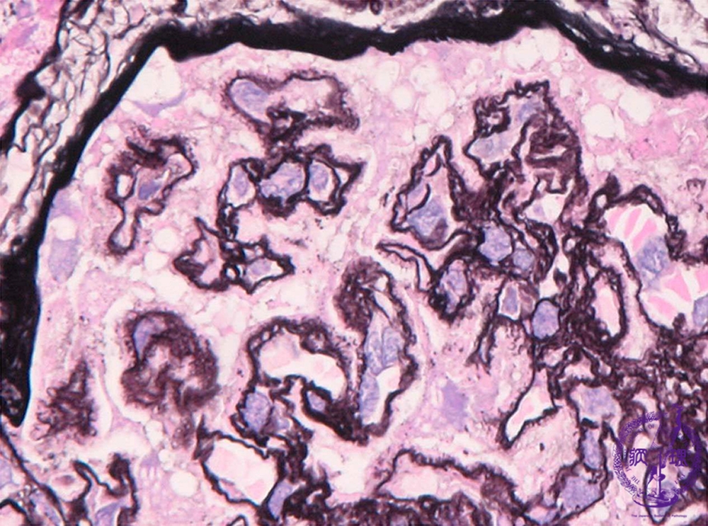
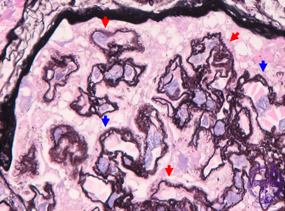
- ★(2)Membranous nephropathy
Microscopic findings (PAM? HE,high power view): Basement membrane deposits form spikes which protrude from the subepithelial aspect (red arrows). Additionally, the basement membrane focally demonstrates duplication (blue arrows), categorized as stage II - III.
Click the image to see the enlarged image.

















