- 12.Kidney and Urinary System
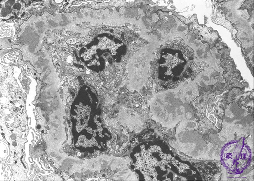
- ★(2)Membranous nephropathy
Electron microscopic findings, stage III: The electron dense subepithelial deposits (red arrow) are completely enveloped by thickened basement membrane (blue arrow).
Click the image to see the enlarged image.

















