- 12.Kidney and Urinary System
- ★(2)Membranous nephropathy
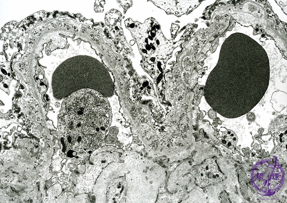
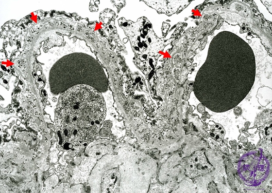
Electron microscopic findings: Stage IV. The presence of electron lucent deposits constitutes the main finding (red arrows).
Click the image to see the enlarged image.
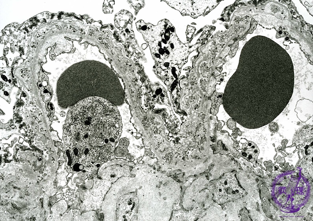
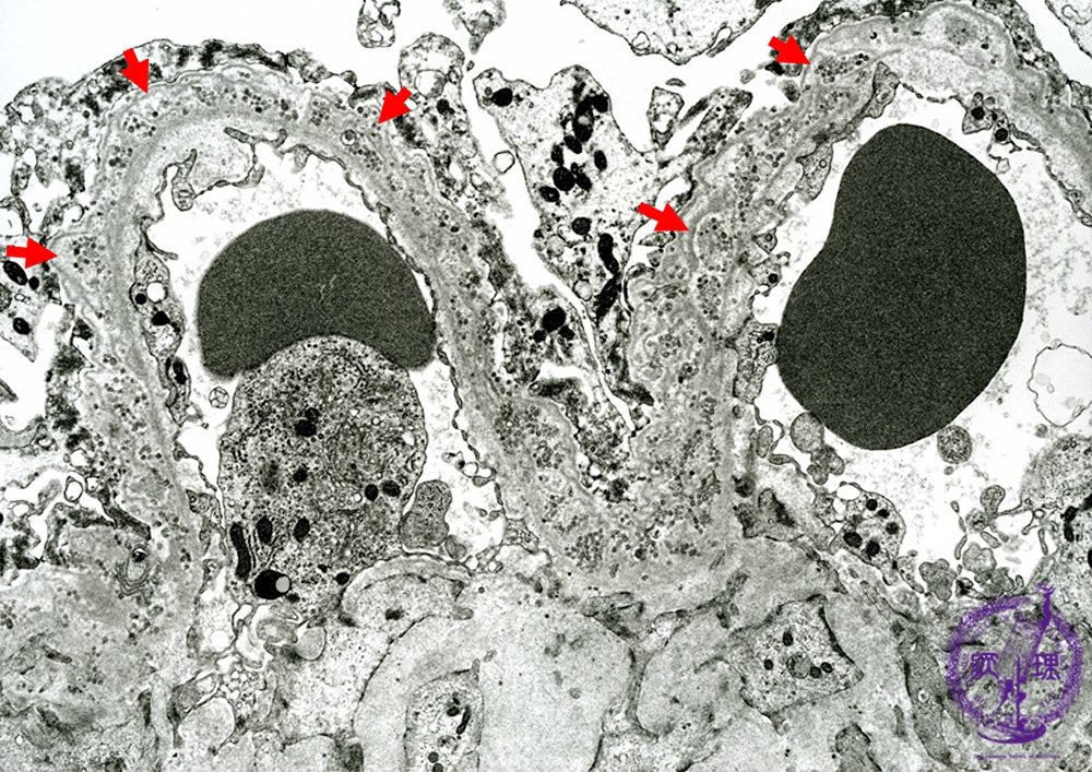
Electron microscopic findings: Stage IV. The presence of electron lucent deposits constitutes the main finding (red arrows).
Click the image to see the enlarged image.