- 12.Kidney and Urinary System
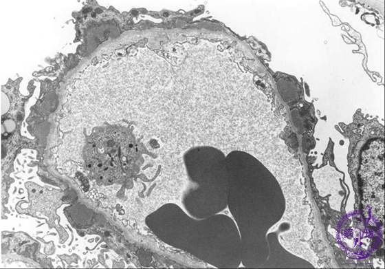
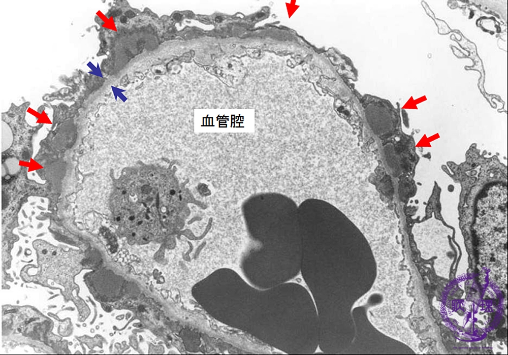
- ★(2)Membranous nephropathy
Electron microscopic findings: Stage I: Subepithelial electron dense deposits are observed (red arrows). The basement membrane is not thickened(blue arrows).
Click the image to see the enlarged image.

















