- 15.Female genital organs
- ★(2)Adenomyosis
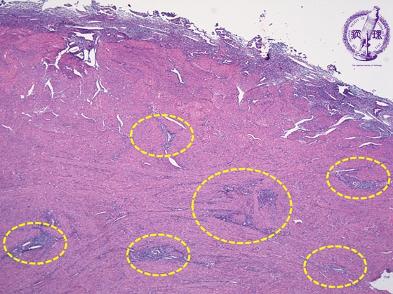
Histology (HE stain, low power) Ectopic endometrial glands and stromal cells in the myometrium (yellow dotted line).
Click the image to see the enlarged image.
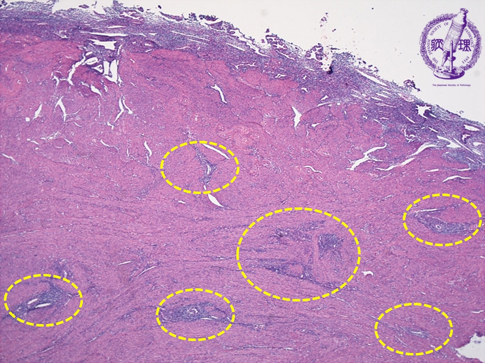
Histology (HE stain, low power) Ectopic endometrial glands and stromal cells in the myometrium (yellow dotted line).
Click the image to see the enlarged image.