- 15.Female genital organs
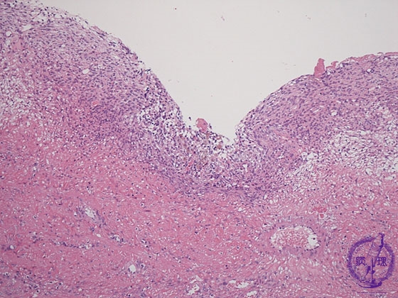
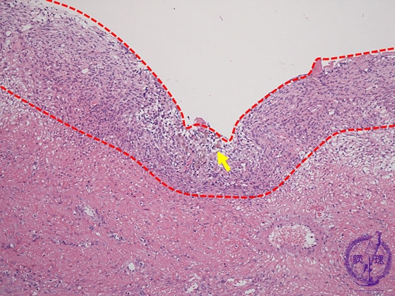
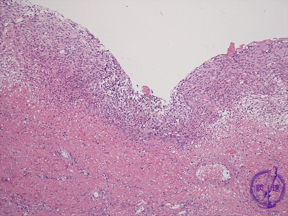
- ★(2)Endometriosis
Histology (HE stain, low power): Ectopic endometrial tissue (stromal tissue), hemorrhage and hemosiderin-laden macrophages are apparent in the cyst wall (endometrial tissue: red dotted line, macrophages: yellow dotted line).
Click the image to see the enlarged image.


















