- 15.Female genital organs
- ★(2)Adenomyosis
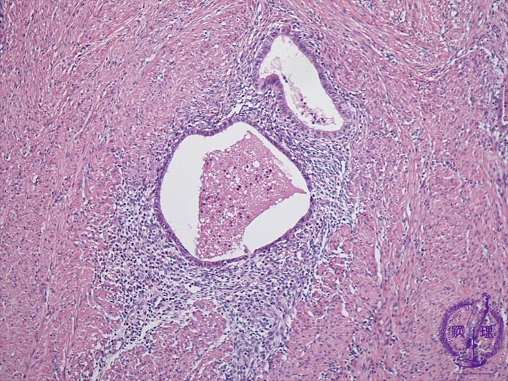
Histology (HE stain, intermediate power): Endometrial tissue consisting of endometrial glands and stromal cells in the myometrium.
Click the image to see the enlarged image.
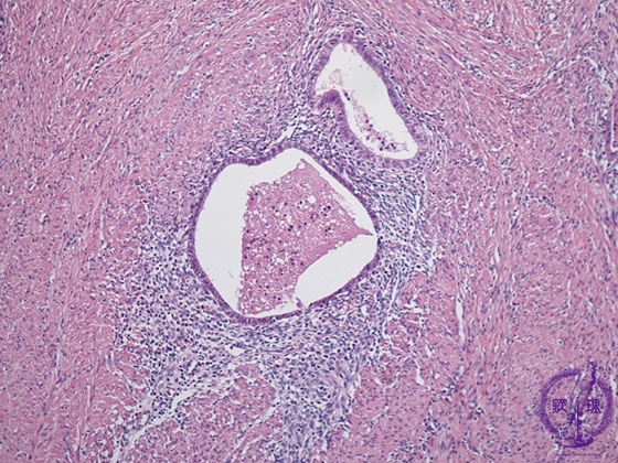
Histology (HE stain, intermediate power): Endometrial tissue consisting of endometrial glands and stromal cells in the myometrium.
Click the image to see the enlarged image.