- 15.Female genital organs
- ★(2)Endometriosis
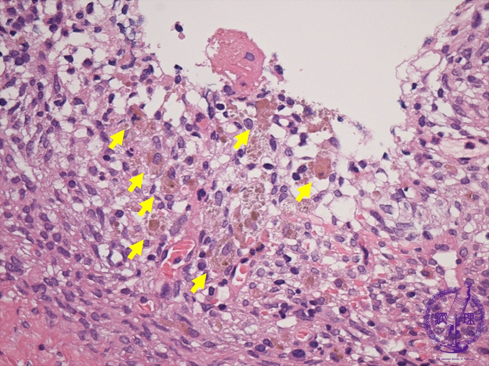
Histology (HE stain, high power): Endometrial stromal tissue and numerous hemosiderin-laden macrophages (yellow arrow) in the cyst wall.
Click the image to see the enlarged image.
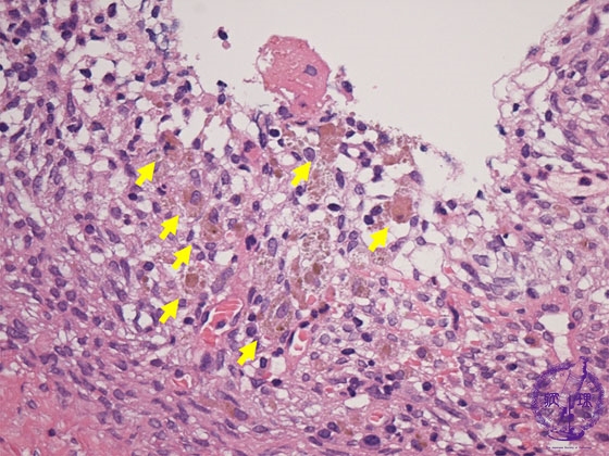
Histology (HE stain, high power): Endometrial stromal tissue and numerous hemosiderin-laden macrophages (yellow arrow) in the cyst wall.
Click the image to see the enlarged image.