- 15.Female genital organs
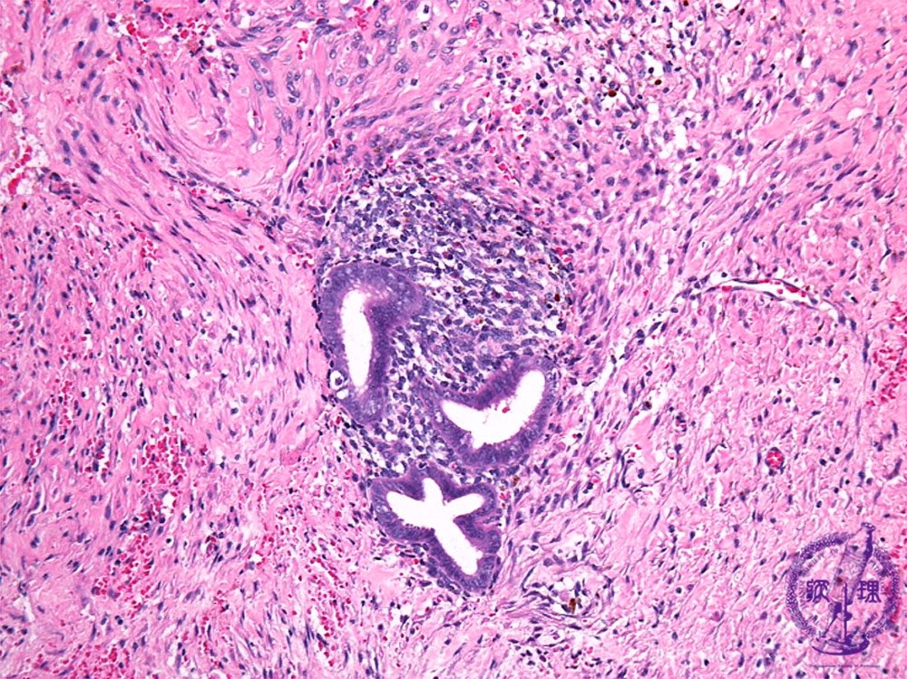
- ★(2)Endometriosis
Histology (HE stain, intermediate power): Ectopic endometrial tissue in cyst wall.
Click the image to see the enlarged image.
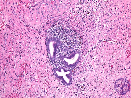
Histology (HE stain, intermediate power): Ectopic endometrial tissue in cyst wall.
Click the image to see the enlarged image.