- 15.Female genital organs
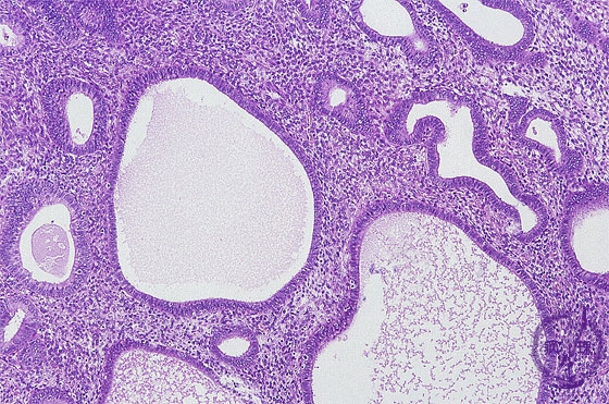
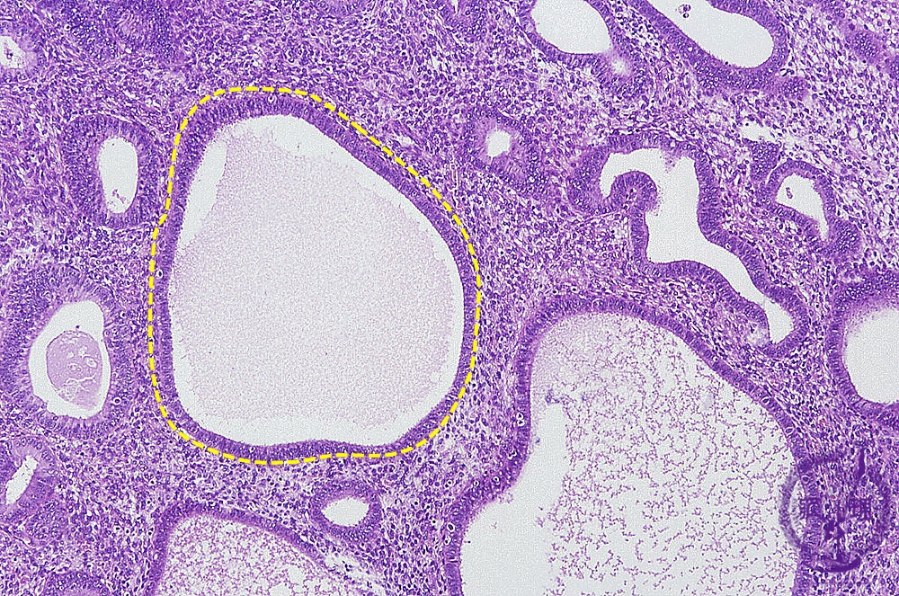
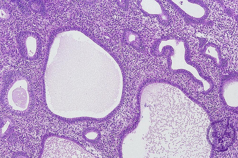
- ★(5)Simple endometrial hyperplasia
Histology (HE stain, intermediate power): Endometrial hyperplasia, simple. Proliferation of endometrial glands and stroma without cytologic atypia. Some glands shows cystic dilation (yellow dotted line).
Click the image to see the enlarged image.
















