- 15.Female genital organs
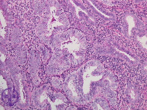
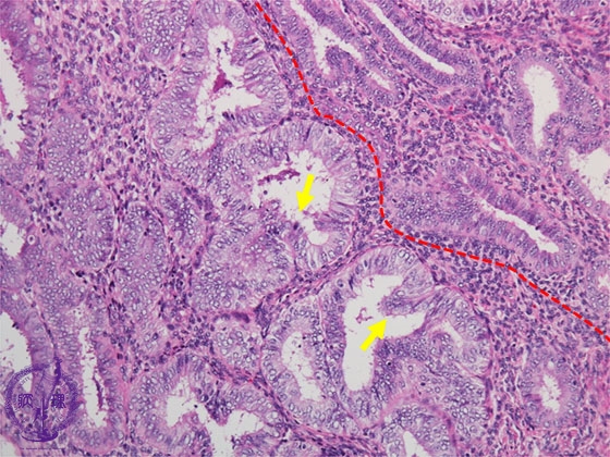
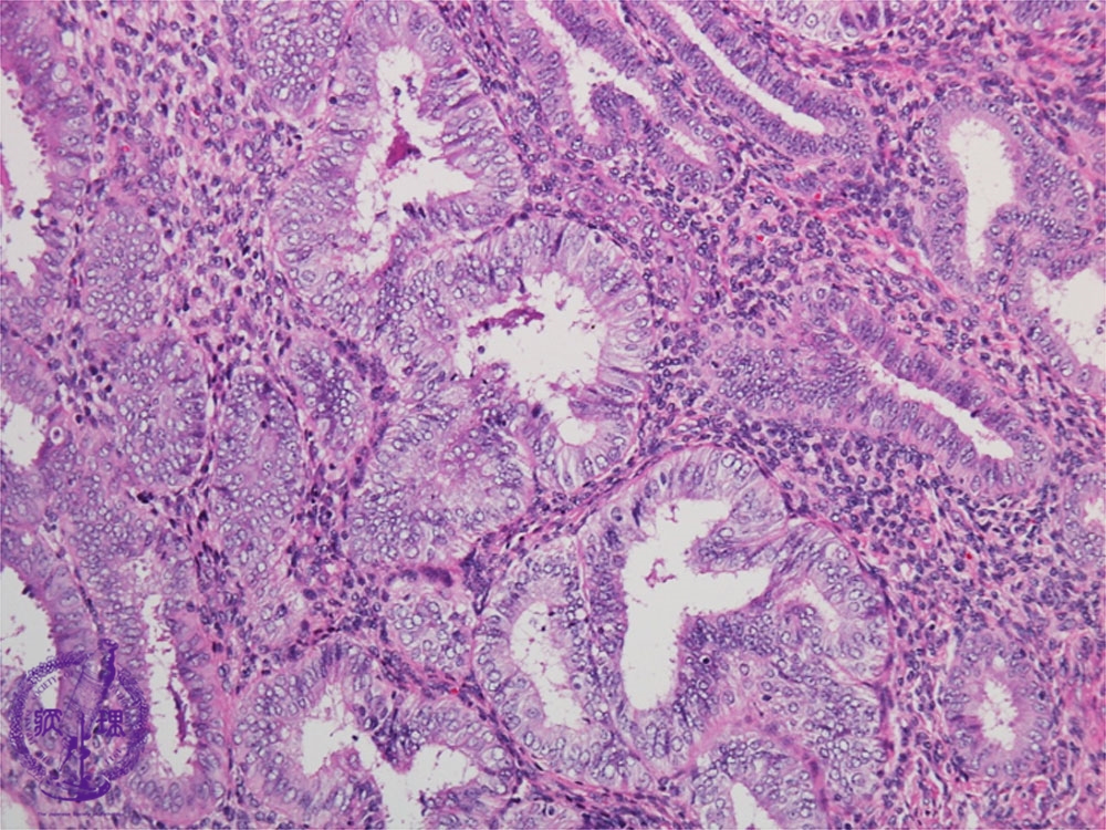
- ★(5)Complex endometrial hyperplasia
Histology (HE stain, intermediate power): Atypical endometrial hyperplasia, complex. Under the red dotted line, proliferation of endometrial glands with cytologic atypia (nuclear enlargement, rounded nuclei, enlarged nucleoli, disturbed nuclear arrangement), dense glandular arrangement and structural atypia (papillary structure, yellow arrow) is identifiable.
Click the image to see the enlarged image.
















