- 15.Female genital organs
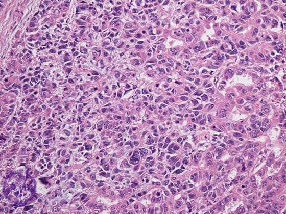
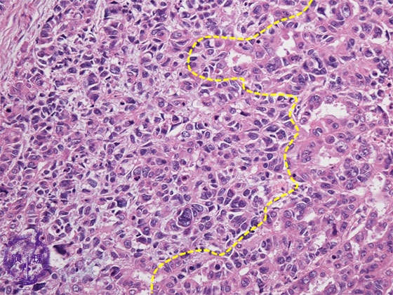
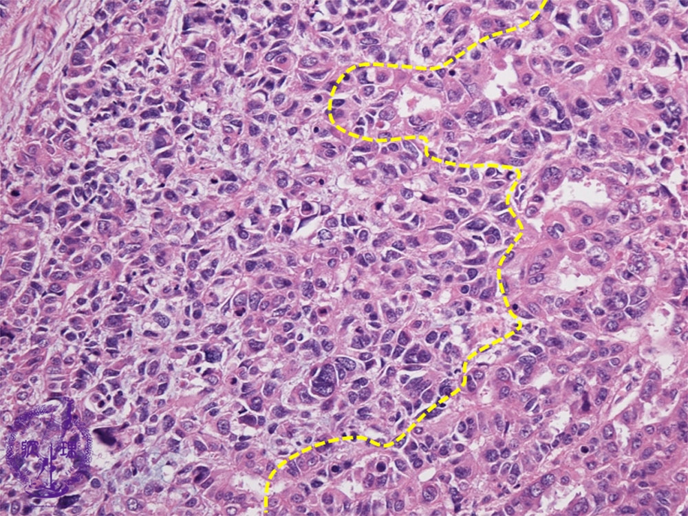
- ★(5)Endometrial cancer (endometrioid adenocarcinoma)
Histology (HE stain, high power): Endometrioid adenocarcinoma of uterine corpus. Poorly differentiated endometrioid adenocarcinoma demonstrating predominantly solid growth pattern. Partial tubular pattern (right side of yellow dotted line) is also detected.
Click the image to see the enlarged image.
















