- 15.Female genital organs
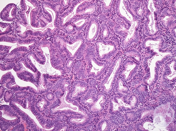
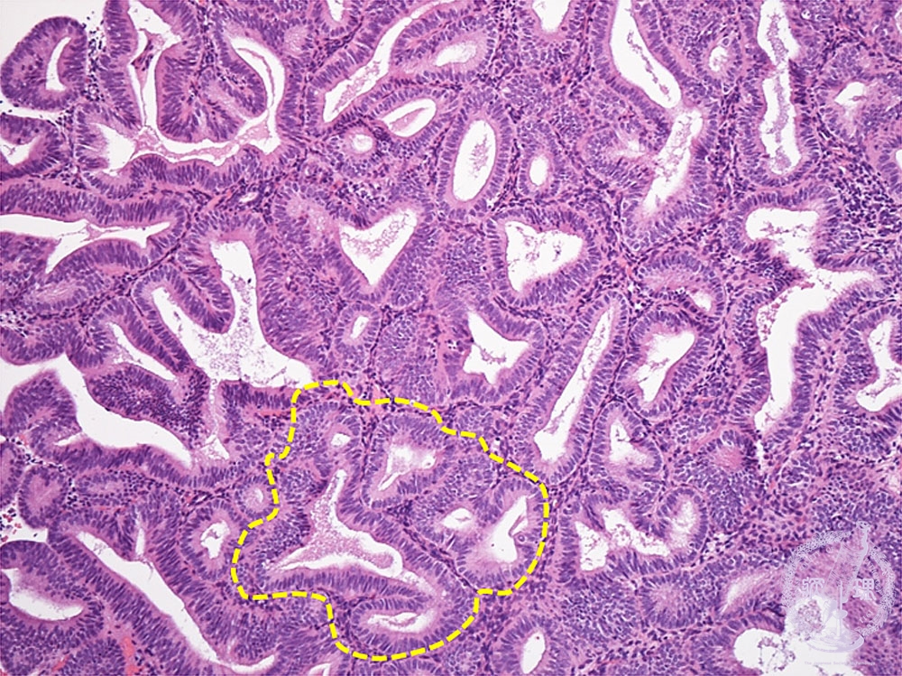
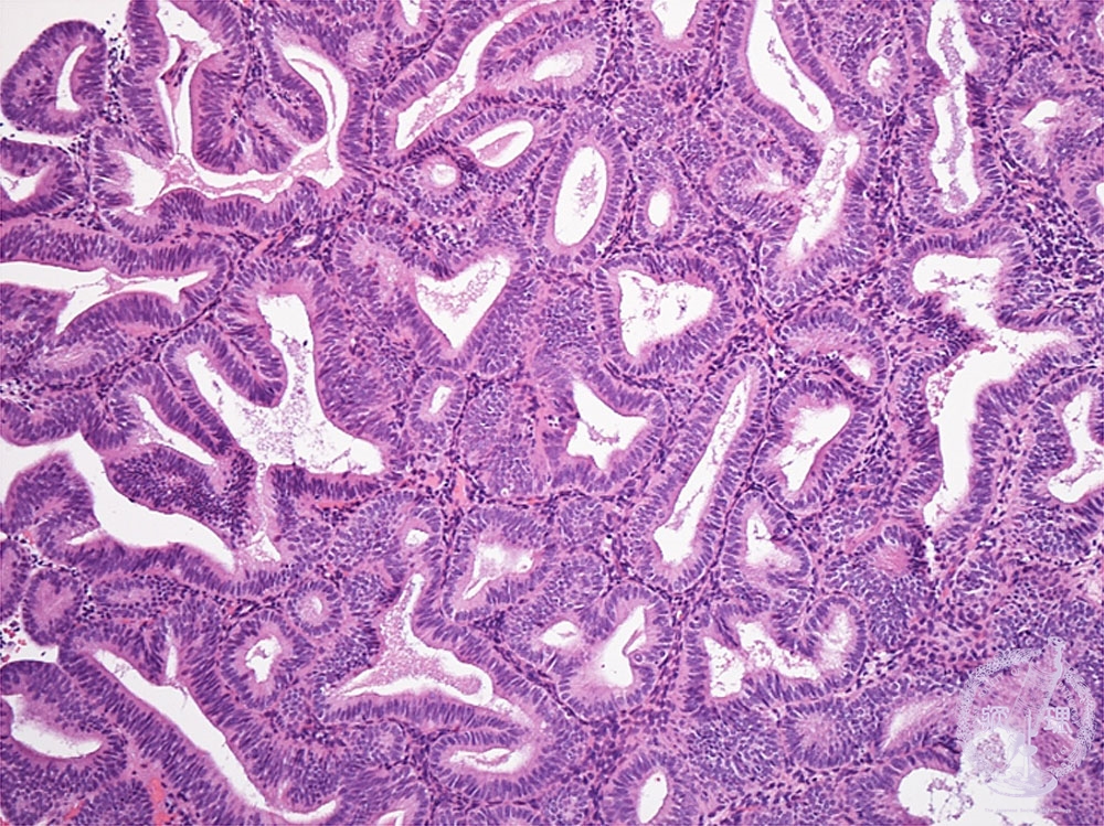
- ★(5)Complex endometrial hyperplasia
Histology (HE stain, intermediate power): Endometrial hyperplasia, complex. Proliferation of endometrial glands without cytologic atypia, forming dense and complicated architecture (yellow dotted line). Stromal proliferation is obscure.
Click the image to see the enlarged image.
















