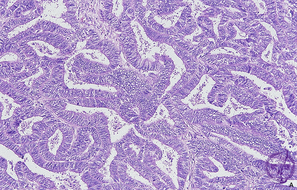
Histology (HE stain, intermediate power): Endometrioid adenocarcinoma of uterine corpus. The most common tissue type. Carcinoma cells mimick the proliferative endometrium.

Click the image to see the enlarged image.

  • There is no guidance by arrows.