- 15.Female genital organs
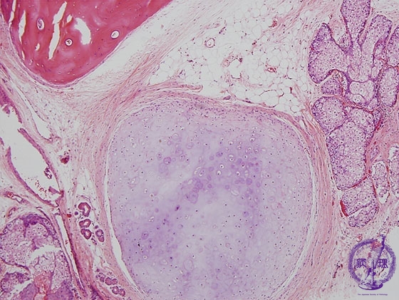
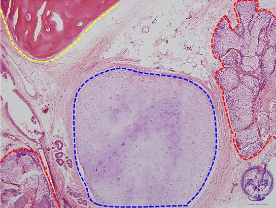
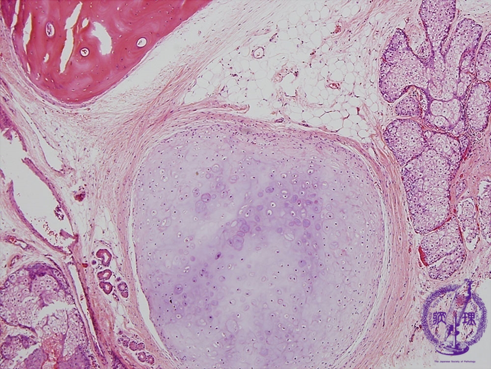
- ★(9)Ovarian teratoma(Mature cystic teratoma)
Histology (HE stain, low power): Mature cystic teratoma. Bone (yellow dotted line), cartilage (blue dotted line), and sebaceous gland (red dotted line).
Click the image to see the enlarged image.
















