- 15.Female genital organs
- ★(9)Immature teratoma
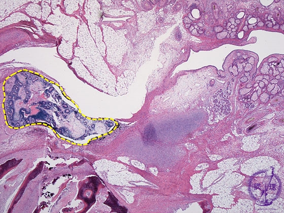
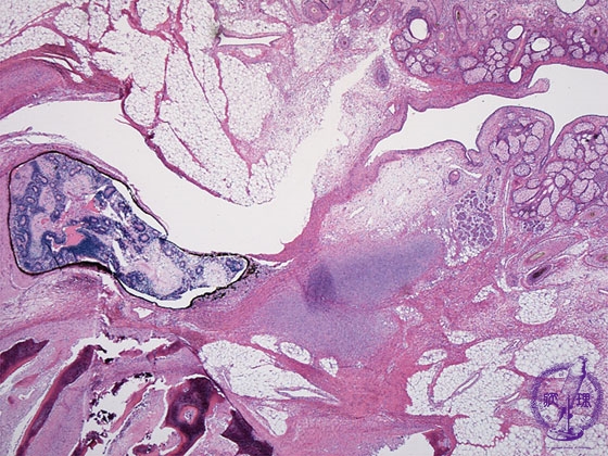
Histology (HE stain, low power): Immature teratoma. Most components are mature, immature component (yellow dotted line) also identified here.
Click the image to see the enlarged image.
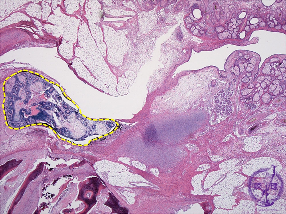
Histology (HE stain, low power): Immature teratoma. Most components are mature, immature component (yellow dotted line) also identified here.
Click the image to see the enlarged image.