- 15.Female genital organs
- ★(9)Immature teratoma
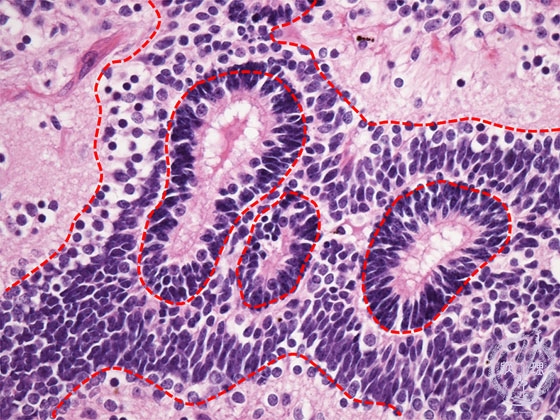
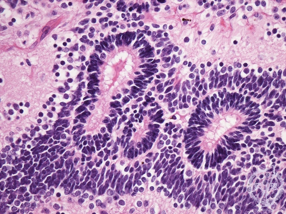
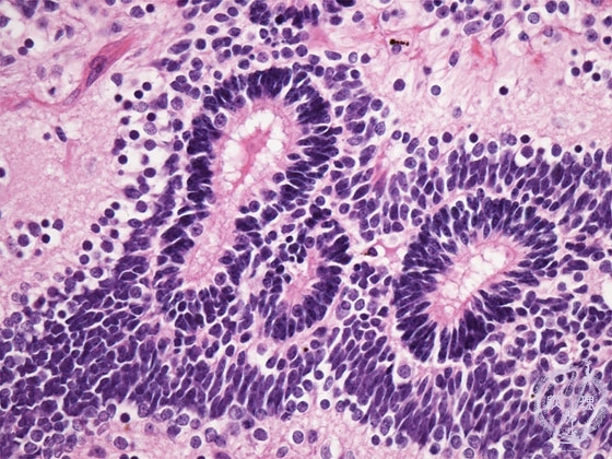
Histology (HE stain, high power): Immature teratoma. Immature neuroepithelial tissue mimicking neural tube (red dotted line).
Click the image to see the enlarged image.
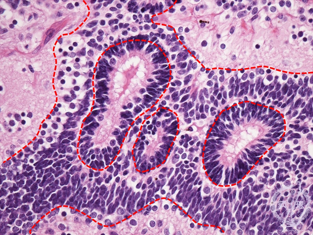
Histology (HE stain, high power): Immature teratoma. Immature neuroepithelial tissue mimicking neural tube (red dotted line).
Click the image to see the enlarged image.