- 15.Female genital organs
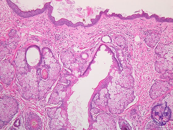
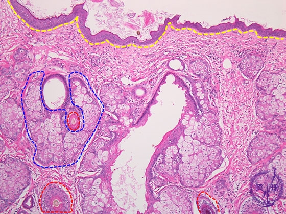
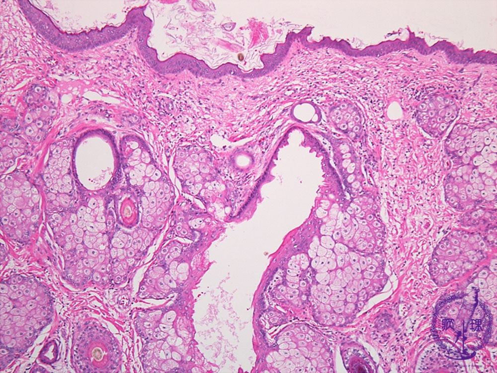
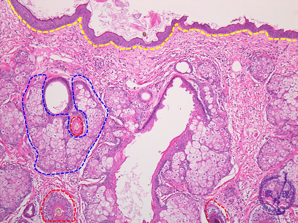
- ★(9)Ovarian teratoma(Dermoid cyst)
Histology (HE stain, low power): Mature cystic teratoma (dermoid cyst). Epidermis (yellow dotted line) or follicles (red dotted line) and sebaceous glands (blue dotted line) as skin appendages are apparent.
Click the image to see the enlarged image.
















