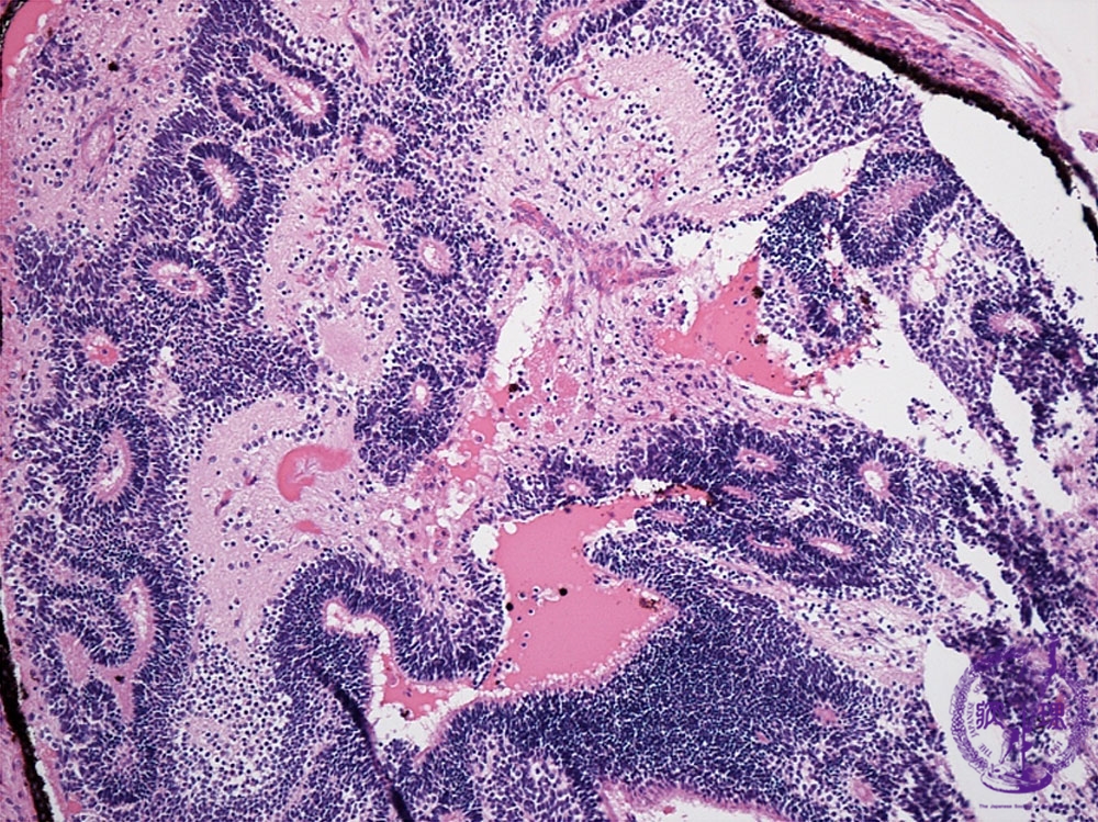
Histology (HE stain, intermediate power): Immature teratoma. Immature neuroectodermal tissue.

Click the image to see the enlarged image.

  • There is no guidance by arrows.