- 16.Male genital organs
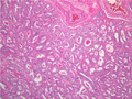
- ★(2)Prostatic cancer (adenocarcinoma, Gleason grading system)
Macroscopic appearance: Prostatic cancer. Solid nodule with blurred margin on cut surface A. Most of the time, the area of prostatic cancer cannot be recognized as clearly as the area of benign prostatic hypertrophy. Therefore usually difficult to distinguish the area of cancer by macroscopic inspection. In some cases, cancer area could be well recognized macroscopically as shown in cut surface B. The blue dotted line highlights the histologically confirmed cancer area in both A and B.
Click the image to see the enlarged image.
















