- 16.Male genital organs
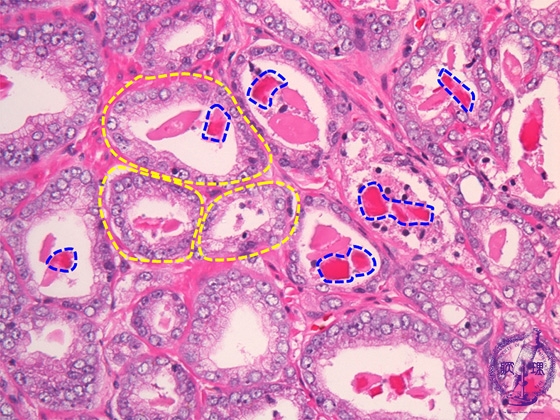
- ★(2)Prostatic cancer (adenocarcinoma, Gleason grading system)
Histology (HE stain, high power): Well differentiated adenocarcinoma. In contrast to benign glands, carcinomatous glands usually consist of simple tubular structure (yellow dotted line) without two cell layer structures. Crystalloids (blue dotted line) are often identified in the tubules of well differentiated adenocarcinoma.
Click the image to see the enlarged image.
















