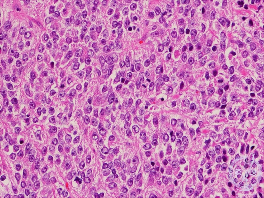
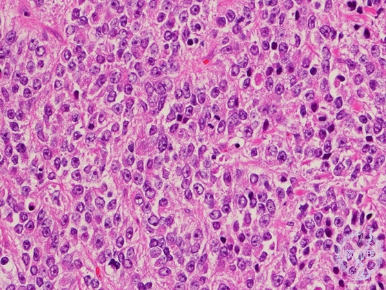
Histology (HE stain, high power): Poorly differentiated adenocarcinoma. Carcinoma cells proliferate in solid pattern, with almost no tubular formation.

Click the image to see the enlarged image.

  • There is no guidance by arrows.