- 16.Male genital organs
- (2)Prostatic cancer (adenocarcinoma, Gleason grading system)
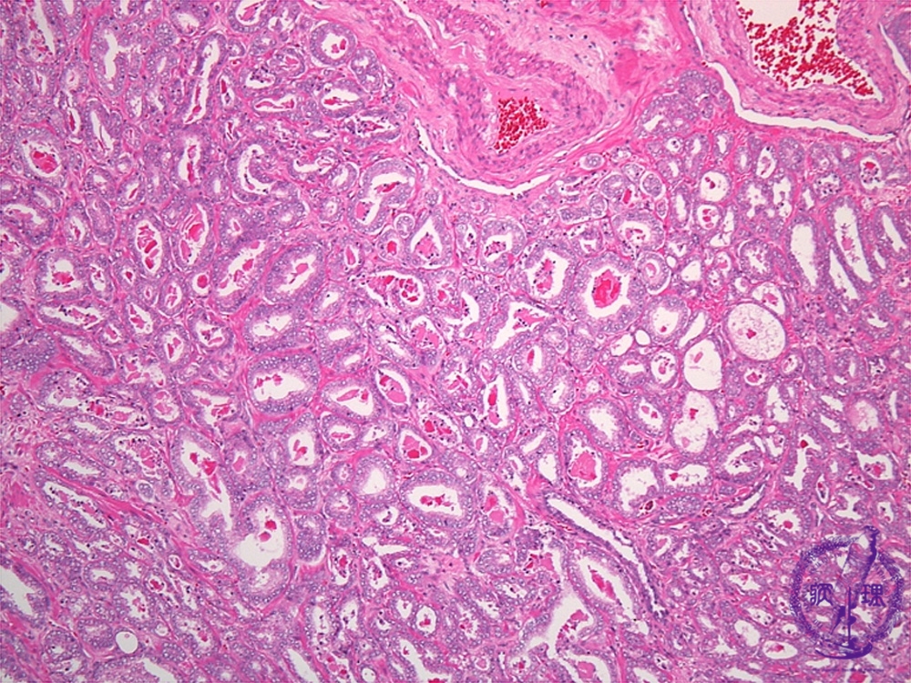
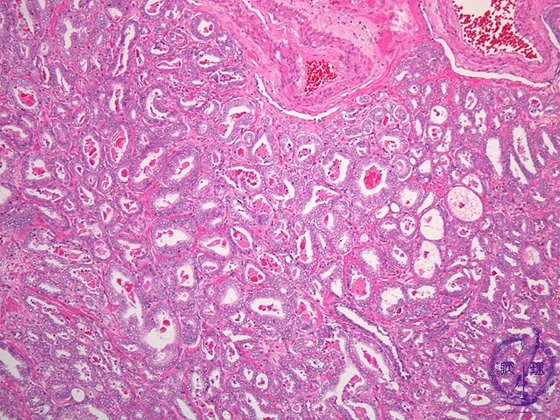
Histology (HE stain, intermediate power): Well differentiated adenocarcinoma. According to the degrees of tubular structure conservation, the histological degree of differentiation has been classified as well, moderately or poorly differentiated. However, at this juncture, Gleason grading system is common as a means of evaluating prognosis. The Gleason score of this case 6(3+3).
Click the image to see the enlarged image.













