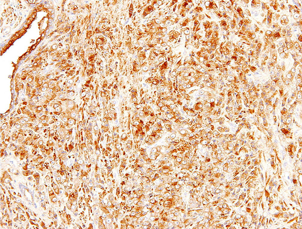
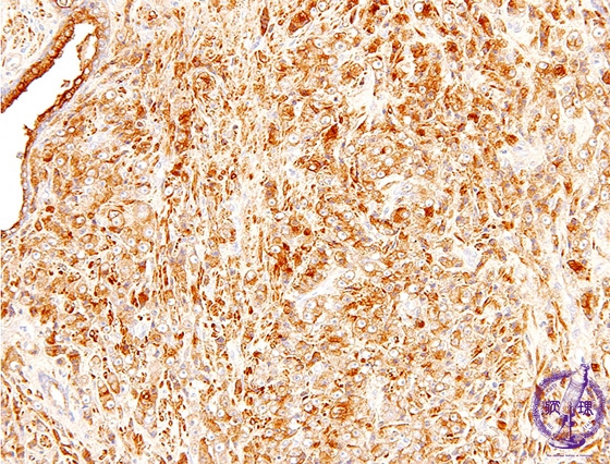
- 16.Male genital organs
- (2)Prostatic cancer (adenocarcinoma, Gleason grading system)
Histology (Immunohistochemistry, prostatic specific antigen (PSA), intermediate power): Poorly differentiated adenocarcinomas formed almost no tubular structures, have ill-defined margin and distinct cellular atypia. In order to confirm the prostatic origin of this lesion, immunohistochemistry for PSA could be of help in the final pathological diagnosis.
Click the image to see the enlarged image.













