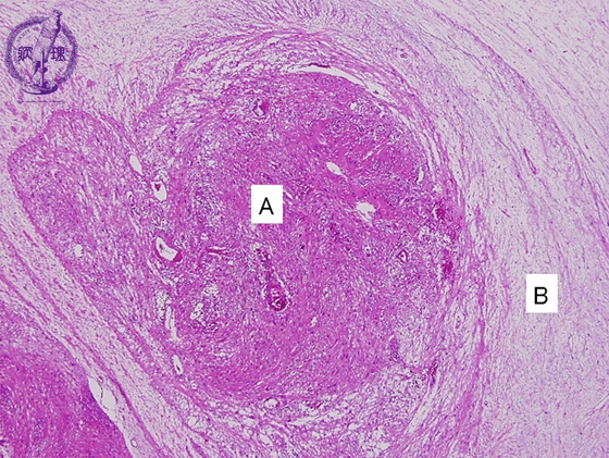
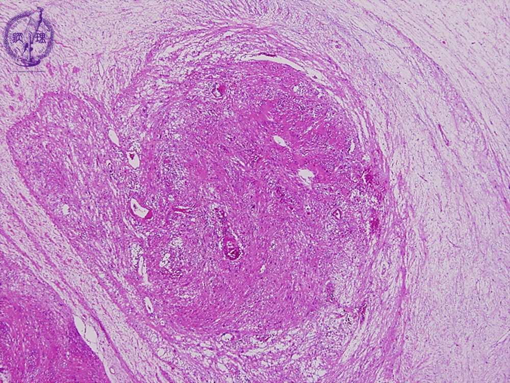
- 18.Soft tissue
- ★(2)Schwannoma
Microscopic findings (H.E. low power view): Thecoexistence of cellular Antoni A area associated with proliferation of spindle cells and edematous Antoni B area associated with scattered spindle cells.
Click the image to see the enlarged image.
















