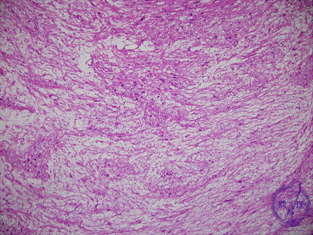
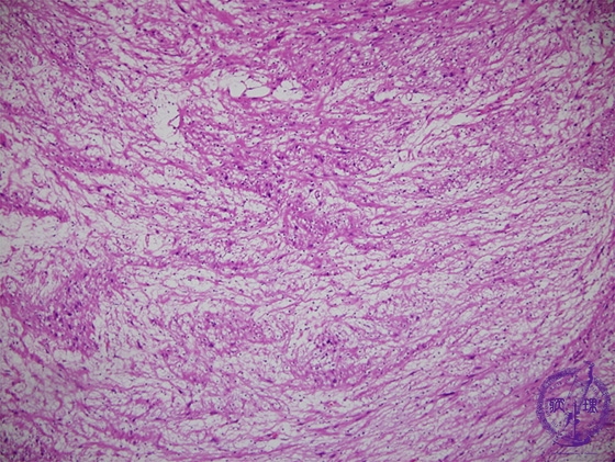
Microscopic findings (H.E. intermediate power view): In Antoni B area, spindle-shaped tumor cells scattered in the edematous or myxomatous background.

Click the image to see the enlarged image.

  • There is no guidance by arrows.