- 18.Soft tissue
- ★(2)Schwannoma
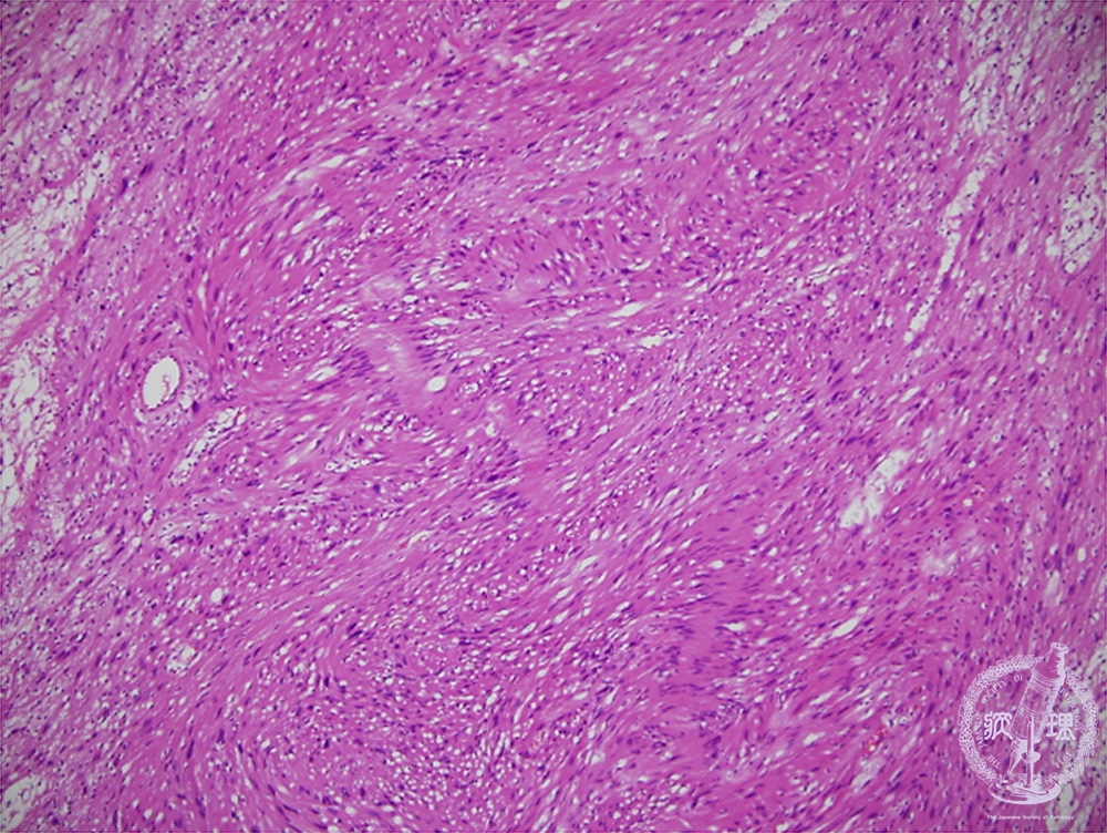
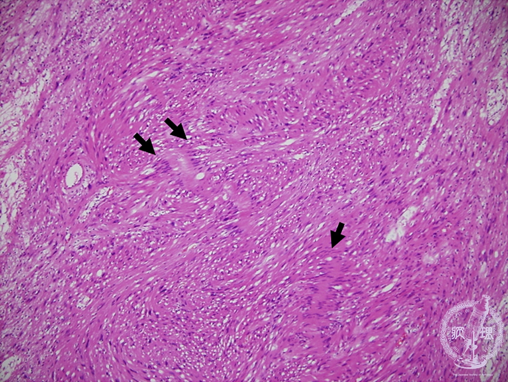
Microscopic findings (H.E. intermediate power view): In Antoni A area, spindle-shaped tumor cells proliferated forming bundles with nuclear palisading (arrows).
Click the image to see the enlarged image.
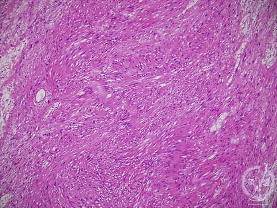
Microscopic findings (H.E. intermediate power view): In Antoni A area, spindle-shaped tumor cells proliferated forming bundles with nuclear palisading (arrows).
Click the image to see the enlarged image.