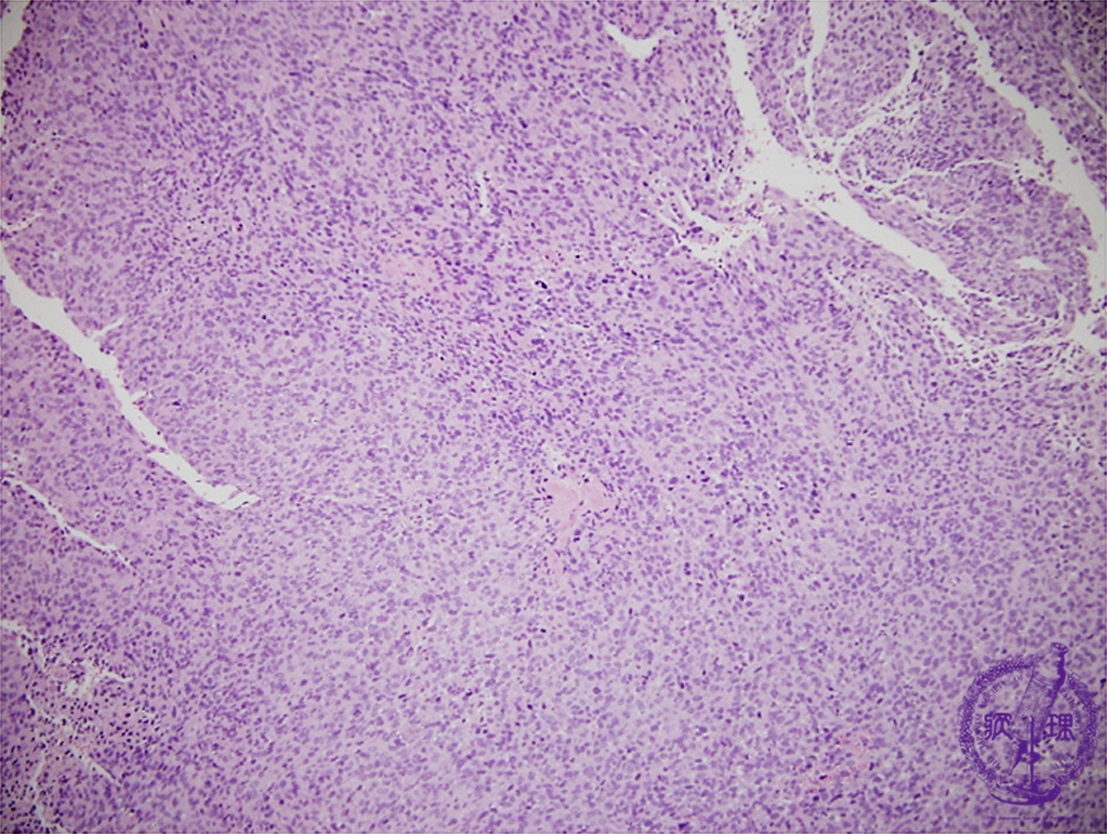
• 18.Soft tissue
  • (2)Malignant peripheral nerve sheath tumor(MPNST)

Microscopic findings (H.E. low power view): Spindle-shaped tumor cells proliferated without forming particular structures.

Click the image to see the enlarged image.

  • There is no guidance by arrows.