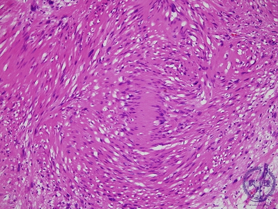
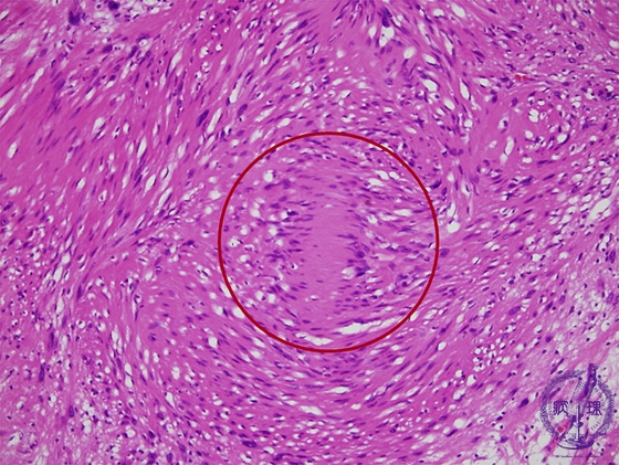
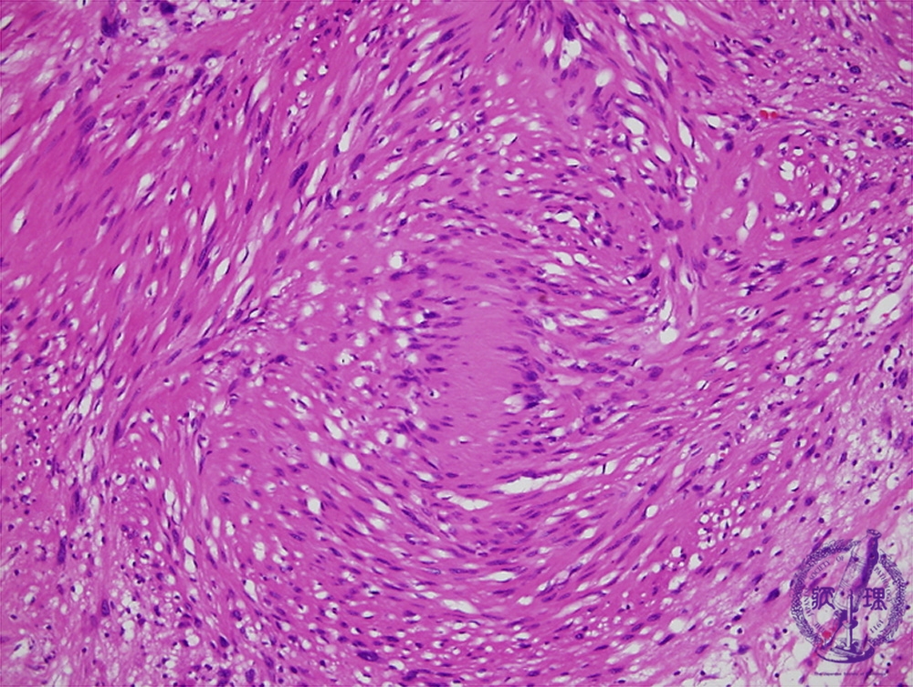
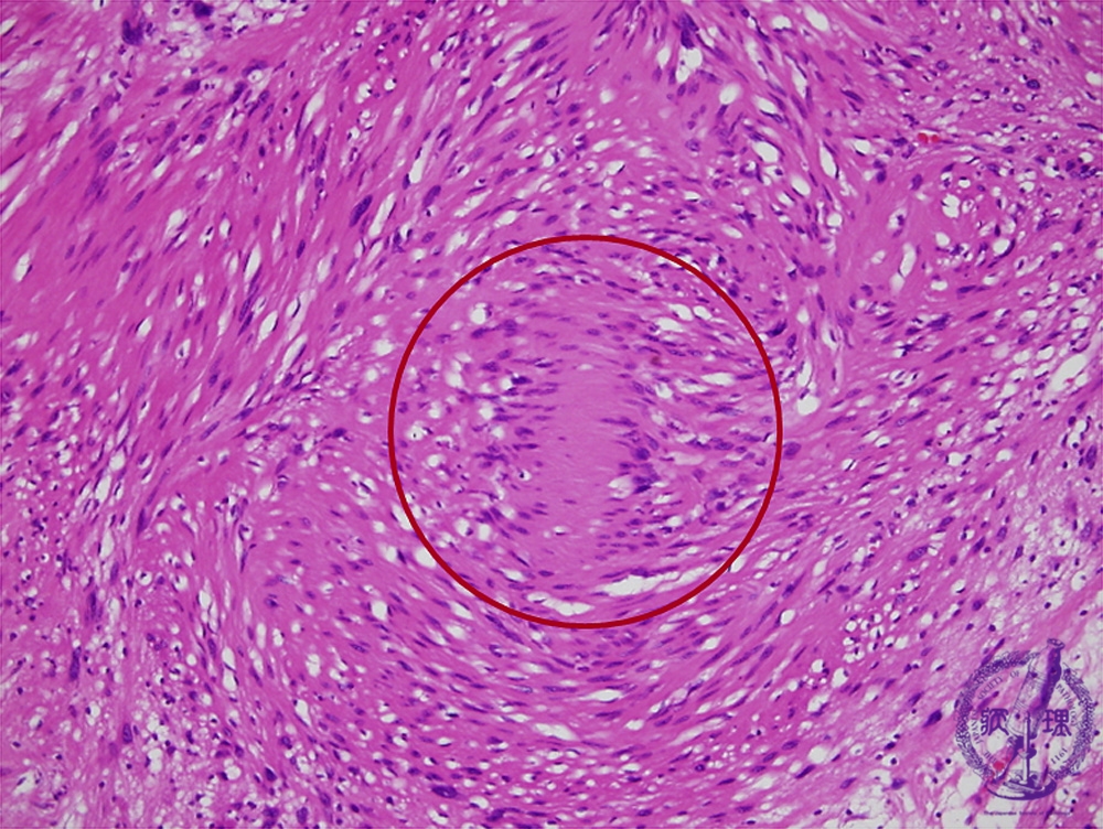
- 18.Soft tissue
- ★(2)Schwannoma
Microscopic findings (H.E. high power view): In Antoni A area, ball-like fibrous bundles with bipolar nuclear palisading, termed Verocay bodies, are also identified (red circle).
Click the image to see the enlarged image.
















