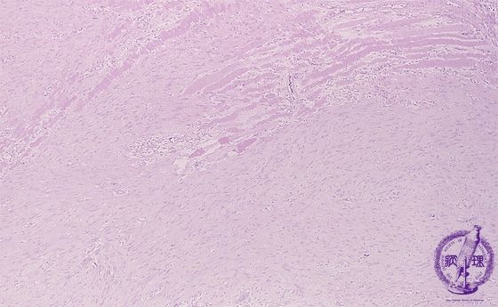
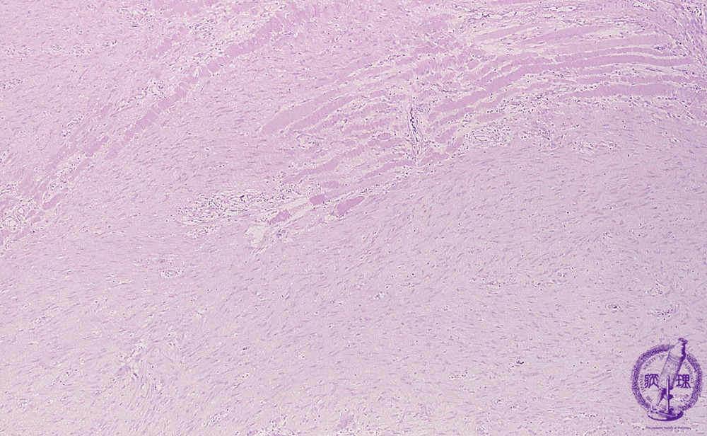
Microscopic findings (H.E. low power view): Spindle tumor cells demonstrated an infiltrative growth into the skeletal muscle tissue (upper). The margin of the tumor is unclear, and tend to recur.

Click the image to see the enlarged image.

  • There is no guidance by arrows.