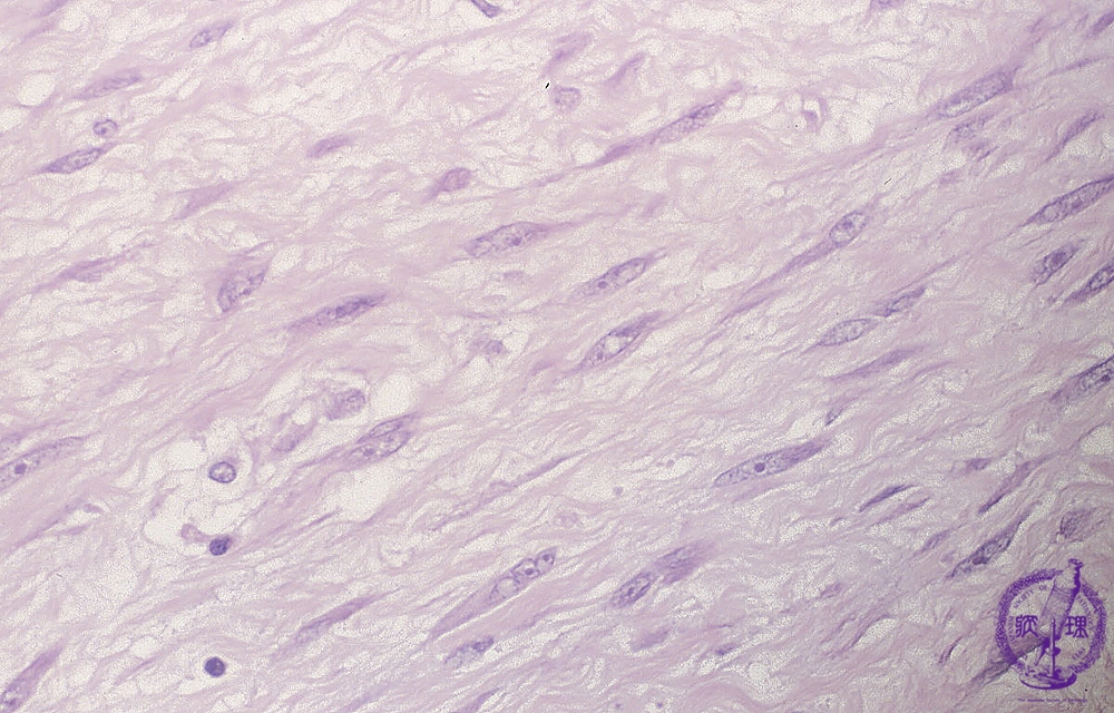
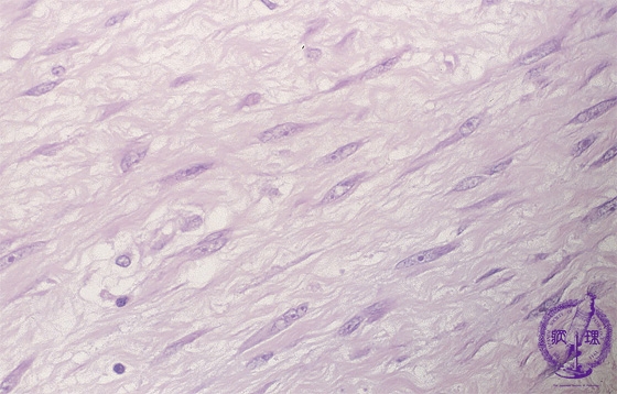
Microscopic findings (H.E. high power view): Spindle-shaped tumor cells with a low degree of atypia and abundant collagenous bundles.

Click the image to see the enlarged image.

  • There is no guidance by arrows.