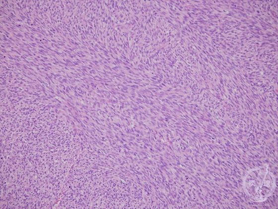
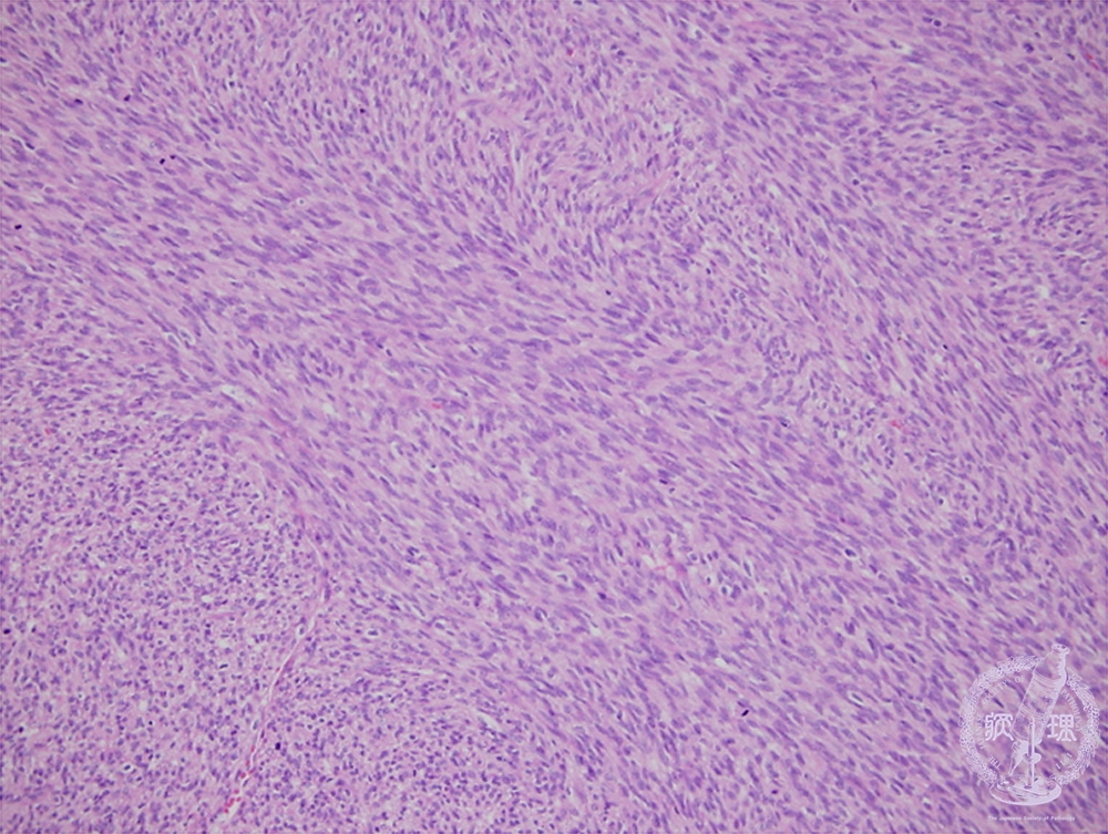
Microscopic findings (H.E. intermediate power view): Spindle-shaped fibroblastic tumor cells formed in a compact fashion.

Click the image to see the enlarged image.

  • There is no guidance by arrows.