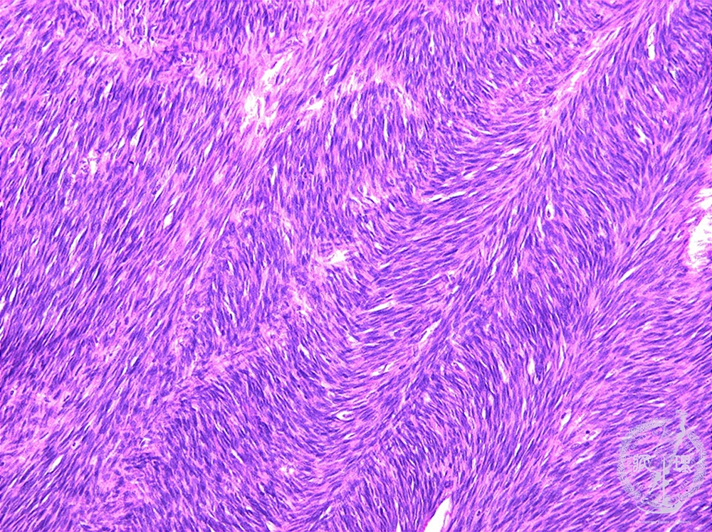
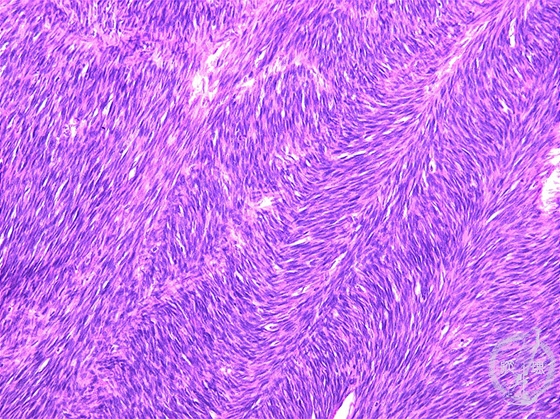
Microscopic findings (H.E. intermediate power view): Tumor cells with the characteristic structures, termed herring-bone pattern.

Click the image to see the enlarged image.

  • There is no guidance by arrows.