- 18.Soft tissue
- (7)Fibrosarcoma
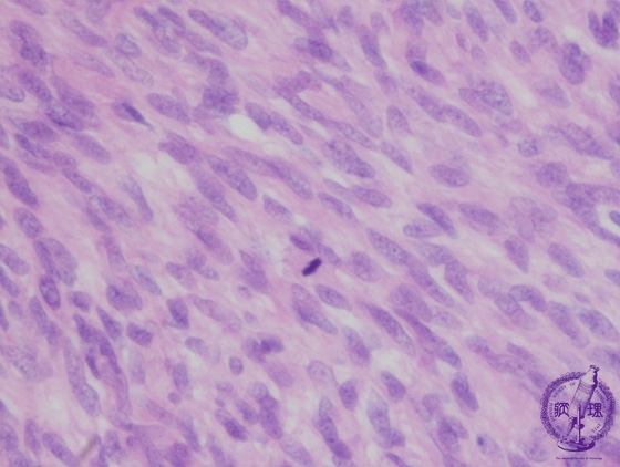
Microscopic findings (H.E. high power view): Cellularity of tumor cells abundant and many mitotic figures detected.
Click the image to see the enlarged image.
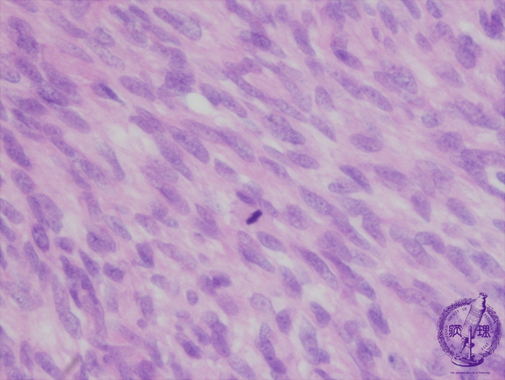
Microscopic findings (H.E. high power view): Cellularity of tumor cells abundant and many mitotic figures detected.
Click the image to see the enlarged image.