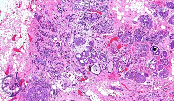
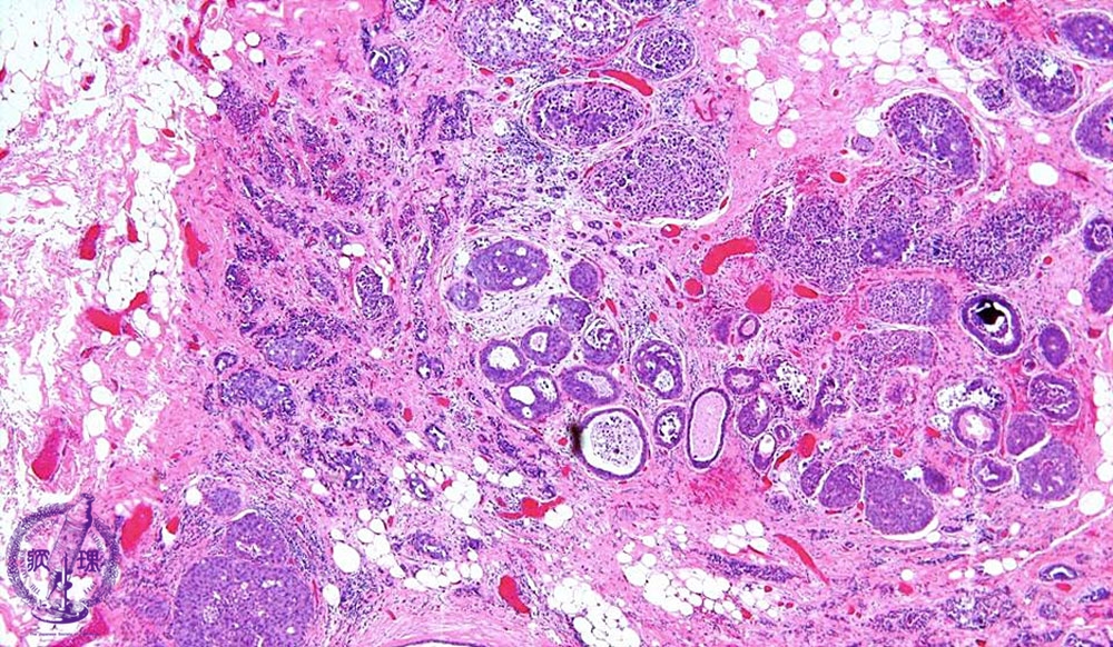
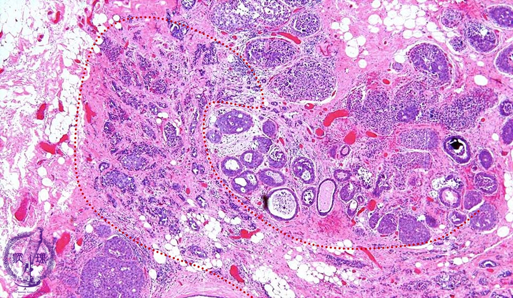
- 14.Breast
- ★(6)Invasive ductal carcinoma(Papillotubular carcinoma)
Microscopic image(HE stain, low power view):An example of well-differentiated type of invasive ductal carcinoma showing duct formation and/or papillary proliferation. In addition to intraductal spread, extensive stromal invasion (dotted line) is also apparent.
Click the image to see the enlarged image.

















