- 14.Breast
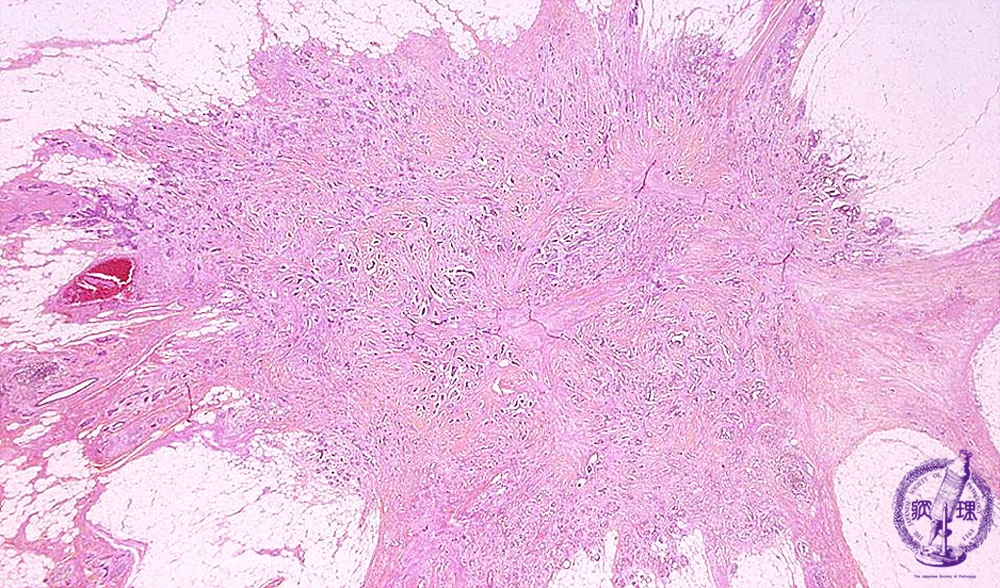
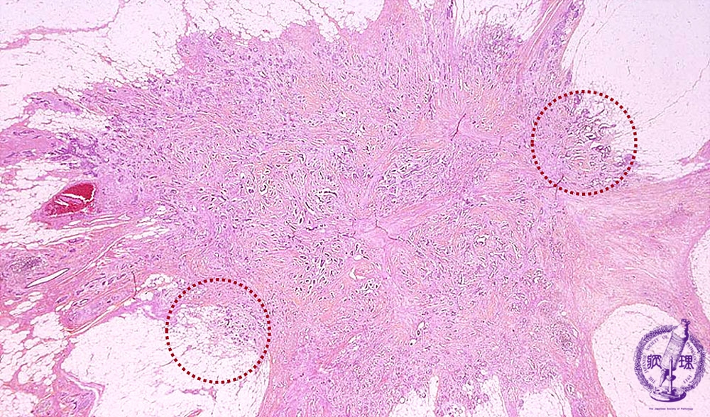
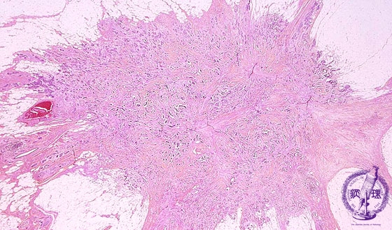
- ★(6)Invasive ductal carcinoma(Scirrhous carcinoma)
Microscopic image(HE stain, low power view):Tumor margin irregular with fluffing, representing the infiltration to adjacent adipose tissue.
Click the image to see the enlarged image.
Microscopic image(HE stain, low power view):Tumor margin irregular with fluffing, representing the infiltration to adjacent adipose tissue.
Click the image to see the enlarged image.