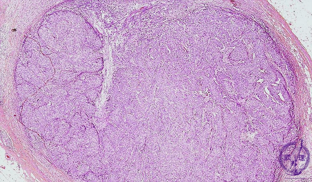
• 14.Breast
  • š(6)Invasive ductal carcinoma(Solid-tubular carcinoma)

Microscopic image(HE stain, low power view):Solid carcinoma cell nests are highly proliferative. Middle sized nests result in a lobulated appearance. An expansive growth of carcinoma cells can also be appreciated at the margin of the tumor.

Click the image to see the enlarged image.

  • There is no guidance by arrows.