• 14.Breast
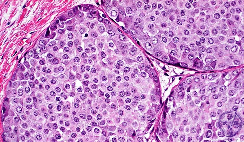
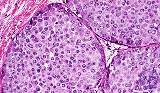
  • š(6)Invasive ductal carcinoma(Solid-tubular carcinoma)

Microscopic image(HE stain, high power view):The tumor cells have proliferated in aclose pattern without tubular formation. This tumor represented moderately differentiated ductal carcinoma.

Click the image to see the enlarged image.

  • There is no guidance by arrows.